
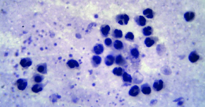
기타 세포 분석
원유: 체세포 계수
우유 산업에서 원유의 품질은 주요 관심사입니다. 체세포(백혈구, 백혈구)의 존재는 주로 박테리아 감염과 박테리아 오염으로 인해 발생합니다. 체세포 수 SCC로 측정되는 고농도의 체세포의 존재는 유제품의 품질에 부정적인 영향을 미칩니다.
Amphasys의 단일 세포 분석 기술을 사용하면 처리되지 않은 원유의 체세포 수를 직접 측정할 수 있습니다. 지방 입자는 체세포와 비슷한 크기를 가지고 있지만 명확한 구별과 신뢰할 수 있는 SCC 측정이 가능합니다.
조류, 곰팡이, 포자, 식물 및 기타 세포
Amphasys의 기술을 사용하면 크기가 1~50μm인 모든 세포 유형을 측정하고 감지할 수 있습니다. 탁하고 오염된 용액에서도 염료, 마커 또는 배양 없이도 세포 생존율과 세포 농도를 병렬로 결정할 수 있습니다. 대사 활동이 변화하는 것과 같은 다른 세포 특성도 관찰할 수 있습니다.
언급되지 않은 세포 유형 및 연구에 대해서는 노바솔루션에 직접 연락하여 정보와 지원을 요청하세요.
기타 세포 분석
원유: 체세포 계수
우유 산업에서 원유의 품질은 주요 관심사입니다. 체세포(백혈구, 백혈구)의 존재는 주로 박테리아 감염과 박테리아 오염으로 인해 발생합니다. 체세포 수 SCC로 측정되는 고농도의 체세포의 존재는 유제품의 품질에 부정적인 영향을 미칩니다.
Amphasys의 단일 세포 분석 기술을 사용하면 처리되지 않은 원유의 체세포 수를 직접 측정할 수 있습니다. 지방 입자는 체세포와 비슷한 크기를 가지고 있지만 명확한 구별과 신뢰할 수 있는 SCC 측정이 가능합니다.
조류, 곰팡이, 포자, 식물 및 기타 세포
Amphasys의 기술을 사용하면 크기가 1~50μm인 모든 세포 유형을 측정하고 감지할 수 있습니다. 탁하고 오염된 용액에서도 염료, 마커 또는 배양 없이도 세포 생존율과 세포 농도를 병렬로 결정할 수 있습니다. 대사 활동이 변화하는 것과 같은 다른 세포 특성도 관찰할 수 있습니다.
언급되지 않은 세포 유형 및 연구에 대해서는 노바솔루션에 직접 연락하여 정보와 지원을 요청하세요.